Nuewa R9
Nuewa R9
Nuewa R9
Geser kesamping untuk melihat deskripsi lainnya →
  • Gambaran Umum
  • Kecerdasan Klinis
  • Zone Intelligence
  • Gambar Klinis
  • Pengalaman Pengguna

Gelombang Baru dalam Perawatan Kesehatan Wanita

 

 

Nuewa R9 dengan Zone Intelligence 2.0 memberikan solusi total untuk membantu Anda dengan keyakinan diagnostik, efisiensi, dan standarisasi di berbagai tantangan diagnostik dalam praktik kesehatan wanita.

 

Video produk Nuewa R9 :

Meneruskan Cerdas ke Kecerdasan Klinis

 

Didukung oleh platform ZST + berbasis data saluran, Nuewa R9 dengan Zone Intelligence 2.0 membangun mekanisme yang benar-benar cerdas untuk menghadirkan tingkat Intelijen yang baru.

 

Setumpuk Solusi Cerdas untuk Perawatan Kesehatan Wanita dan Anak-anak Didukung oleh Zone Intelligence

 

Nuewa R9 dengan Zone Intelligence 2.0 memberikan solusi total cerdas untuk memberikan perawatan kesehatan wanita yang benar-benar luar biasa mulai dari evaluasi pra-kehamilan, kehamilan, pemulihan pascapersalinan hingga neonatus.

 

 


 

NEOTATUS

 

Pinggul Cerdas

 

Pengukuran otomatis Graf 2D yang inovatif

 

# Metode grafik:

Metode yang paling umum digunakan untuk evaluasi pinggul, hasilnya sesuai dengan klasifikasi pinggul yang jelas. Deteksi struktur kunci didasarkan pada algoritma pembelajaran mendalam. Pengukuran otomatis (α dan ) dan klasifikasi. 

 

# Sederhana dan Efisien:

Sangat meningkatkan efisiensi ujian hanya dengan satu klik.

 

# Akurat dan Andal:

Sistem akan menilai apakah bagian tersebut standar atau tidak sebelum perhitungan, dan penyesuaian manual juga diperbolehkan.

 

 


 

PEMULIHAN

 

Pelvis Cerdas

 

Menyadari pentingnya diagnosis ultrasonografi pada kelainan dasar panggul yang semakin meningkat, Smart Pelvic memberikan solusi baru untuk sangat menyederhanakan prosedur operasi, dan untuk meminimalkan waktu pemeriksaan untuk evaluasi standar pada dasar panggul. Dengan interaksi pengguna yang sangat sederhana, produk ini menghasilkan sistem koordinat standar dan menyediakan semua pengukuran terkait dalam beberapa detik secara otomatis.

 

 


 

PRA KEHAMILAN

 

Smart FLC

 

 

Smart FLC secara otomatis mendeteksi jumlah folikel dann menghitung setiap volume dari gambar volume ovarium 3D, memastikan penilaian folikel yang akurat, penting untuk pemeriksaan IVF.

 

__________________________________________________________

 

Smart ERA

 

 

Dengan algoritma yang lebih cerdas, Smart ERA mampu secara efektif mendeteksi struktur anatomi dengan batas yang lemah sekalipun, seperti endometrium. Selain itu, penilaian komprehensif dari jejak vaskular dan intensitas aliran darah di area target disediakan untuk memastikan lebih banyak informasi diagnostik.

 

__________________________________________________________

 

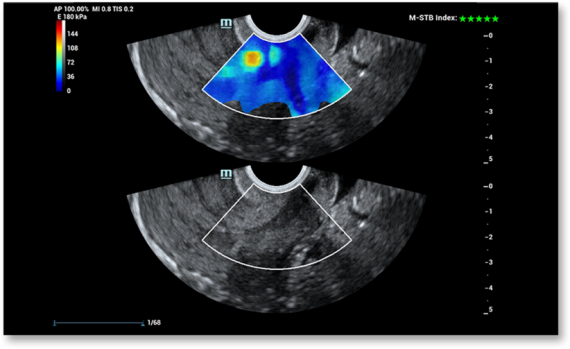
Suara Sentuh Elastografi (STE)

 

 

Terintegrasi dengan teknologi Ultra-wide Beam Tracking ekslusif Mindray, STE menyediakan elastografi gelombang geser 2D waktu nyata dengan alat pengukuran profesional untuk analisis elastis kuantitatif yang komprehensif. Sementara itu, STE independen operator memastikan reproduktifitas yang baik dan memberikan hasil elastis kuantitatif yang sangat konsisten.

 

__________________________________________________________

 

Pencitraan Kontras UWN+

 

 

UWN+ (Ultra-Wideband Non-linier Plus) CEUS memungkinkan Nuewa R9 mendeteksi dan memanfaatkan sinyal fundamental harmonik dan nonn-linier ke-2, menghasilkan gambar yang ditingkatkan secara signifikan, menghasilkan sensitivitas yang lebih besar dan durasi agen yang lebih lama untuk pemahaman yang lebih baik tentang penyakit GYN.

 

__________________________________________________________

 

Hycosy 3D/4D (Sonografi Kontras Hysterosalpingo)

 

 

Prosedur ultrasound yang sederhana dan bisa ditoleransi dengan baik yang digunakan untuk menilai patensi tuba falopi, serta mendeteksi kelainan rahim dan endometrium.

Gambar Klinis

 

Resolusi detail yang sangat baik pada janin 9 minggu

 

iLive dengan Hyalin tampilan yang lebih jelas pada otot

 

Celah bibir dan langit-langit pada janis 26 minggu

 

Wajah janin yang cerah dengan iLive

 

Gambar 3D definisi tinggi pada janin 15 minggu

 

Hyalin memperlihatkan embrio kelima

 

Pengukuran Smart NT

 

Tanda kupu-kupu dengan definisi yang sangat baik

 

Resolusi detail dan kontras yang sangat baik

 

Profil warna yang sangat baik dengan HR Flow

 

Divertikulum rahim dengan Hyalin

 

Kista cokelat ovarium dengan iLive

 

Rekonstruksi 3D dari hiatus levator

 

Keseragaman yang sangat baik pada ovarium

 

Memastikan Pengalaman Pengguna yang Lebih Baik

 

HUBUNGI KAMI