Solusi lengkap yang Didukung oleh ZST +
Platform ZST+ merupakan inovasi luar biasa yang mewakili evolusi ultrasound. Mentransformasikan metrik ultrasound dari pembentukan cahaya konvensional menjadi pemrosesan berbasis channel data. Mengatasi batasan kompromi tradisional antara resolusi spasial, resolusi temporal, dan keseragaman jaringan, menghadirkan mutu gambar yang luar biasa untuk solusi pencitraan tak terbatas dengan peningkatan secara berkelanjutan.

Nuewa I9 menghadirkan solusi cerdas yang lengkap untuk perawatan ibu dan bayi baru lahir yang sangat efisien. Mencakup kontinum dari prakehamilan, obstetri, hingga pascamelahirkan. Seluruh prosedur pemeriksaan menjadi alur kerja terautomasi: dimulai dengan mengidentifikasi skenario aplikasi klinis otomatis, dan menggunakan automasi di setiap titik pemeriksaan, seperti optimasi pencitraan, akuisisi bidang, dan kuantifikasi.

Inovasi Berbasis Skenario Klinis dengan Smart Scene 3D
Smart Scene 3D yang inovatif merupakan teknik pemindaian volume berorientasi skenario yang cerdas. Dengan menggabungkan algoritme tingkat lanjut dengan pengetahuan domain, perangkat ini memungkinkan identifikasi karakteristik jaringan secara otomatis dan menyediakan alat bantu diagnostik organ khusus dengan fitur cerdas di seluruh prosedur pemeriksaan, mulai dari optimasi pencitraan, akuisisi bidang, hingga kuantifikasi.

S
mart Scene 3D bisa digunakan secara luas dalam perawatan kesehatan wanita selama pemeriksaan prakehamilan, obstetri, dan pascamelahirkan. Teknologi yang semakin luas diadopsi akan terus dikembangkan dan disempurnakan di masa depan.
Solusi GYN / IVF
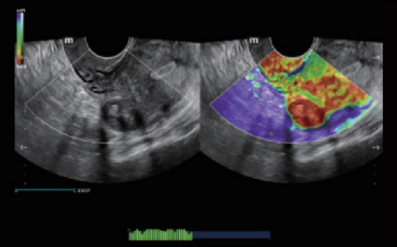
Smart Endometrial Receptivity Analysis - Smart V Trace
Smart-V Trace mendeteksi struktur anatomi secara efektif, bahkan dengan batasan yang lemah, seperti endometrium. Selain itu, perangkat ini menghasilkan penilaian komprehensif atas jejak vaskular dan intensitas aliran darah di area target tersedia demi menyajikan lebih banyak informasi diagnostik untuk penerimaan endometrium dan distribusi aliran darah tumor.

Studio Folikel Cerdas untuk IVF - Smart FLC
Smart FLC mendeteksi jumlah folikel secara otomatis dan menghitung volume untuk setiap folikel dari citra volume rahim 3D, memastikan penilaian folikel secara akurat yang penting untuk pemerikasaan IVF.

Solusi Obstetri
Realisme dan Kejelasan Tak Tertandingi -- iLive dengan Hyalin
Dengan meniru beberapa sumber cahaya dengan intensitas beragam, iLive membantu meningkatkan rincian resolusi anatomis secara signifikan untuk struktur permukaan dan internal melalui render volume berkecepatan tinggi.

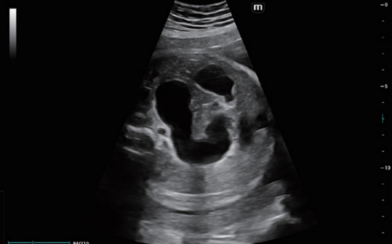
Studi pada CNC Janin yang Cerdas dan Akurat - Smart Planes CNS
Teknologi pelopor Mindray memungkinkan deteksi yang otomatis dan akurat dari bidang yang paling signifikan ( MSP, TCP, TTP, dan TVP ) dan pengukuran yang sering digunakan ( BPD, HC, OFD, TCD, CM, dan LVM ) dari CNS janin, yang memungkinkan peningkatan hasil dan mengurangi ketergantungan terhadap pengguna.

Evaluasi Volume Intrakranial yang Efisien dan Presisi --- Smart ICV
Smart ICV memungkinkan segmentasi otak janin secara otomatis dan menghasilkan pengukuran otomatis untuk studi volume intrakranial janin. Dengan manipulasi pengguna yang minimal, Smart ICV menghadirkan pengukuran ICV yang sangat cerdas dan efisien dengan tingkat akurasi yang lebih tinggi.

Solusi Pasca Melahirkan
Diagnosis Gangguan Dasar Panggul yang Mudah - Smart Pelvic
Smart Pelvic sangat menyederhanakan prosedur operasional dan meminimalkan waktu pemeriksaan untuk evaluasi terstandardisasi atas bagian dasar panggul, baik untuk kompartemen panggul anterior atau hiatus levator anal. Dengan interaksi pengguna yang sangat sederhana, perangkat ini menghasilkan sistem koordinat standar dan pengukuran terautomasi dalam jangka waktu beberapa detik. Perangkat ini juga menghadirkan akuisisi otomatis terhadap beberapa bidang paralel saat simfisis pubis "terbuka, menutup, dan tertutup".


Solusi Neonatus
Skrining DDH yang Handal dan Cerdas -- Smart Hip
Smart Hip merupakan alat bantu yang sederhana dan efisien untuk skrining dan diagnosis DDH ( Developmental Dysplasia of the Hip ) secara akurat dan handal. Menyediakan deteksi otomatis terhadap struktur pinggul dan pengukuran alpha ( α ) dan beta ( β ) otomatis untuk klasifikasi Graf yang mudah. Pemeriksaan cepat hanya membutuhkan sekali klik saja, sehingga tidak terlalu tergantung pada bayi yang baru lahir.
